티스토리 뷰
목차
알고 보면 코로나 보다 무서운 결핵!
65세 이상 고령자가 기침이 2주 이상 멈추지 않고 오래간다면 일단 폐결핵을 의심해 봐야 한다. 나와는 관계없는 것 같지만 결핵은 에이즈, 말라리아 와 함께 세계보건기구가 정한 3대 집중관리 질환이다.
개발도상국이나 후진국에서 걸리는 병으로 치부하기 쉽지만 우리나라도 점차 감소하긴 했으나 아직까지는 OECD국가 중 결핵발생률이 높은 편이며 사망률도 가장 높은 질병으로 치명적이다. 단순 감기, 독감으로 오해 말고 빨리 발견하고 치료하자.
결핵의 정의
결핵균이란 세균이 우리 몸 안으로 침범하여 발행하는 감염병의 일종으로 결핵균은 사람의 몸 안에서 자라기 때문에 결핵균에 감염된 폐결핵 환자가 기침을 할 때 결핵균이 공기 중으로 배출되고 주변에 있는 사람이 숨을 쉬게 되면 공기 중에 있던 균이 폐로 들어가서 폐결핵을 일으킨다. 결핵은 폐, 신장, 신경, 등 몸속 대부분의 조직, 장기에서 병을 일으킬 수 있으나 그중 결핵균은 폐 조직에 감염을 일으켜 일반적으로 결핵으로 통용되는 말은 폐결핵을 지칭한다.
결핵의 증상
초기 결핵의 경우에는 별다른 증상이 없을 수 있지만 결핵의 증상은 매우 다양하다.
결핵균에 감염되면 우리 몸의 영양분을 소모시켜 천천히 증식하며 조직과 장기를 파괴한다. 대부분의 결핵환자들은 기운이 없고 입맛이 떨어지며 체중이 감소하는 증상이 나타난다. 무기력감이나 쉽게 피로를 느끼고 미열이 있거나 야간에 발열이 일어나며 식음땀을 흘리기도 한다.
폐결핵의 경우 기침과 가래 등의 증상이 나타나 심하면 객혈 등 호흡기 질환에서 증상이 나타난다. 이렇게 호흡기계 증상이 보이며 2주 이상 지속되면 단순한 감기로 인식하지 말고 결핵을 의심하고 병원방문을 통해 진단을 받아야 하며 의사도 같은 소견으로 결핵검사를 시행한다.



결핵의 진단
공기를 매개로 하여 감염되는 병이므로 결핵환자 옆에 있었던 사람들은 감염 위험이 높은 편이다.
동거인이나 가족들은 별도 검사를 받아 관리하는 게 도움이 된다. 흉부X선 촬영 및 루베르쿨린 피부 반응 검사를 통해 결핵 여부 판정 등의 접촉자 검진을 받아 보는 게 좋다.
결핵환자의 전염성 정도 및 결핵 환자의 접촉한 시간 등을 파악하여 검진 대상자 범위를 정하고 결핵 환자 치료 시작 시점에서 3개월 이전 치료 시작 후 2주까지 같은 공간에서 생활 또는 주기적 접촉한 사람은 필히 검사를 받아 보자.



[투베르쿨린 검사]
피부 반응 검가로 반응 부취가 10mm 이상이면 양성 판정
[인터페론 감마분비검사]
혈액 채취, 결핵균 특이 항원을 이용 인체 세포매개성 면역반응을 관찰, 검사한다.
결핵균 감염 시 인터페론 감마가 증가한다. 잠복결핵을 진단하는 방법.
[결핵균 검사]
환자의 가래, 복수 등 결핵이 의심되는 환자의 체액을 채취하여 결핵균 배양 검사를 통해 진단
[흉부 X-선 검사]
촬영에서 나타나는 음영의 변화로 결핵여부 의사의 판독으로 확인
[기관지내시경]
기관지로 내시경 삽입 후 기관지세척액을 통해 의사의 판독으로 진단
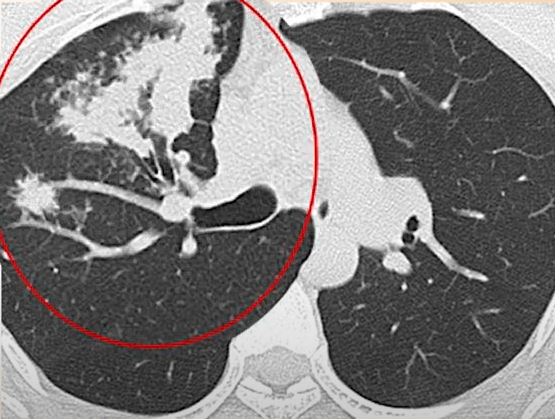
[흉부 CT]
흉부 X-ray촬영 검사로 정확한 결핵의 진단이 어려운 경우 휴부 단층촬영을 시행하고 의사의 판독으로 진단한다.
결핵의 치료
의사의 처방에 따라 정해진 시간에 약을 꾸준히만 복용하면 대부분 완치가 가능하다. 그러나 임의대로 약 복용을 중단하거나 불규칙적으로 복용하게 되면 약물에 대한 내성으로 치료가 어려워질 수 있으니 꼭 의료진 지시에 따라 성실히 복용하자.
서서히 자라는 결핵균의 특징은 한두 가지의 약을 사용 시 내성이 빨리 생겨 치료가 더디거나 실패할 경우도 있어 3~4가지의 항결핵제를 동시에 복용하게 된다. 많은 가짓수의 약물을 장기 복용하게 되므로 소화불량 및 가려움증, 관절통, 시신경염 등 약물 부작용이 더러 발행하기도 한다.
치료 기간은 최소 6개월 이상 결핵약을 꾸준히 복용해야 하고 정기적인 가래검사를 통해 결핵균이 더 이상 발견되지 않아야 완치 판정을 받게 된다.



가족 중 결핵환자가 있을 시 주의할 점
공기로 전염되는 감염병의 일종인 결핵은 치료 초기 전염성이 있는 기간 동안에는 회사 출근 및 학교 등교를 하지 않는 편이 다른 사람과의 만남을 최소화하여 전염을 막을 수 있다.
그러나 치료가 시작되면 전염성은 빠르게 떨어지게 되므로 2주 이상 결핵약 복용 시 대부분 2주 후 사회활동이 가능하다.
결핵 판정 후는 마스크를 착용하여 결핵균이 공기 중으로 배출되는 것을 막아야 하고 공공장소 외출을 삼가야 한다.
환기가 잘 되는 방으로 환자가 독립된 방을 사용하고 환기를 자주 시켜야 한다.
결핵은 공기 중으로 점파 되기 때문에 식기나 이불, 칫솔, 장난감 등 사물을 통해서는 전염되지 않는다. 수저 등 물건 등을 따로 소독할 필요 없다.
결핵은 약만 잘 복용하면 충분히 치료성공률이 90%로 이상으로 매우 높다. 유전되지 않는다.






